RussianNew York Homepage
Руссике артисты на Американской сценеРусские концерты на Американской сцене
  News   Events   Dating   Classifieds   Forum   Chat   YP   TV/Video    Photos 
 News Central
В мире
  Политика
  Разное
Бизнес
  Деньги
Общество
  Мода
  Религия
  Светская жизнь
  Шоу Бизнес
  Пикантные новости
  Животные
  Криминал
Спорт
Искусство
  Кино
  Музыка
Авто
Hi-Tech
  Интернет
  Hardware
  SoftNews
Здоровье
Путешествия
Вокруг света
USA
Россия
  
Ресурсы
  Самые последние
  Самые читаемые
Архив
 Другие ресурсы
Все Ресурсы

Рассылки
Газеты
Журналы
ТВ - Online
Радио

Юмор
  Анекдоты
  Игры
  Этикетки
  
Открытки
  Поздравь друга
  
Программа TV
Кино
  Новости кино
  Кинообзоры
  
Музыка
  Радио в internet
  Russian Top
  
Спорт
Web Обзоры Exler.ru
  
Читальный зал
ЭКСпромт - статьи для чайников
Компьютерные игры
Finance News
Автообзоры
Russian America Journal Digest
 Смотрите также
Yellow Pages
Объявления
Чат
Форум
  последнее

Читальный зал
  Стихи
  Проза
  Кулинария

Едем в Америку!
  Иммиграция
  Визы
  Советы

Знакомства
Фотоальбомы
Top Rating
  America TOP
  
Последние новости со всего мира.
 
NEWS CENTRAL >> Вокруг света

Вокруг света

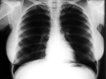
На аукционе продадут рентгеновские снимки Мэрилин Монро
1:39PM Tuesday, Apr 13, 2010
Рентгеновский снимок Мэрилин Монро. Иллюстрация с сайта The Daily Telegraph
Рентгеновские снимки Мэрилин Монро уйдут с молотка на аукционе, который состоится в Лас-Вегасе, сообщает Orange News. Предполагаемая стоимость лота составит от 800 до 1200 долларов.

Выставленные на торги снимки были сделаны в 1954 году, когда Монро поступила во флоридскую больницу Cedars of Lebanon Hospital с диагнозом эндометриоз. В общей сложности актриса провела в больнице всего несколько дней. Снимки, оставшиеся после нее, в течение долгого времени использовались в качестве учебного пособия для докторов.

Продажа рентгеновских снимков пройдет в рамках аукциона вещей, связанных с Монро. Помимо прочего, на нем будет продан неоткрытый флакон духов "Шанель номер 5", принадлежавший актрисе. Этот аромат Монро называла своим любимым и однажды даже ответила на вопрос о том, в чем она ложится спать, фразой: "Только в 'Шанель номер 5'".

Кроме того, на торгах будет продан диван из офиса психиатра Ральфа Гринсона, у которого она проходила лечение во время съемок фильма "Неприкаянные", а также некоторые финансовые отчеты Монро.

По материалам lenta.ru
« « Вернуться       Далее » »
Другие новости по теме
  • Полиция Дубая: "оживший" на фото Сулим Ямадаев давно погиб, его брат говорит глупости
  • Прилетевший в Россию мальчик - гражданин США Джастин Хансен, утверждают в Вашингтоне
  • Медведев прибыл на ядерный саммит в США защищать позицию России
  • Во Франции пассажиры испугались лететь в Египет на Ту-204 и потребовали другой самолет
  • Французские туристы отказались лететь на самолете "Туполев"
  • Electronic Arts анонсировала шутер Bulletstorm
  • Сбербанк прокредитовал стройотрасль на 54,5 миллиарда рублей
  • Румыния заменит транспортники Ан-26 итальянскими самолетами
  • "НГ": продление договора о Черноморском флоте РФ грозит Украине новой революцией
  • Standard & Poor's повысило рейтинг Грузии
  • Китай решил поддержать санкции США в отношении Ирана
  • В Москве упростят оформление документов на застройку
  • Миллиард миров нашей Галактики похожи на Землю, установили астрономы
  • Похороны Леха Качиньского перенесены на сутки
  • Власти Киргизии пересмотрят приговоры по "политическим делам"
  • Главный конструктор "Булавы" рассказал о причинах неудач ракеты

    Далее » »   Digest | Архив »    
Смотрите также: В мире, Бизнес, Общество, Спорт, Искусство, Авто, Hi-Tech, Здоровье, Путешествия, USA, Россия
 
Читайте также:

Британским мясникам запретили пользоваться ножами

Канадская художница выпустила порнографическую книгу для слепых

Лишившиеся пивного пайка рабочие завода Carlsberg прекратили забастовку

Британский магазин открыл вакансию тестера спальных мешков

Самолет с итальянскими политиками столкнулся с зайцем

В ЮАР конфискованы поддельные футболки на полмиллиона долларов


Японский дизайнер создал невидимую мебель

Великовозрастного скейтбордиста обрекли на воспитательную беседу с родителями

Кембриджским студенткам предложили уроки танцев у шеста

Начальник полиции британского графства попросил урезать ему зарплату

Опубликованы самые глупые оправдания нарушителей ПДД

Аргентинским школьникам покажут футбольные матчи вместо уроков

Вор отправлял себя в места ограбления посылкой

Ради дочери-футболистки Обама сбежал от журналистов

Ричард Докинз пообещал арестовать папу Римского

Британских почтальонов запугал престарелый кот

В рюкзаке американского детсадовца нашли марихуану

Опечатка в тюремных документах обошлась тайцу в три года свободы

Британская компания начала поиски маленькой собаки-фотомодели

Сотрудникам завода Carlsberg запретили пить пиво за работой

Герцогиня Корнуольская Камилла сломала ногу



Рассылки:
  Новости-почтой
  TV-Программа
  Гороскопы
  Job Offers
  Концерты
  Coupons
  Discounts
  Иммиграция
  Business News
  Анекдоты
Многое другое...

News Central Home | News Central Resources | Portal News Resources | Help | Login
Russian America Top Holostyak.com Рейтинг@Mail.ru © 2025 RussianAMERICA Holding
All Rights Reserved • Contact