RussianNew York Homepage
Русские концерты на Американской сцене
  News   Events   Dating   Classifieds   Forum   Chat   YP   TV/Video    Photos 
 News Central
В мире
  Политика
  Разное
Бизнес
  Деньги
Общество
  Мода
  Религия
  Светская жизнь
  Шоу Бизнес
  Пикантные новости
  Животные
  Криминал
Спорт
Искусство
  Кино
  Музыка
Авто
Hi-Tech
  Интернет
  Hardware
  SoftNews
Здоровье
Путешествия
Вокруг света
USA
Россия
  
Ресурсы
  Самые последние
  Самые читаемые
Архив
 Другие ресурсы
Все Ресурсы

Рассылки
Газеты
Журналы
ТВ - Online
Радио

Юмор
  Анекдоты
  Игры
  Этикетки
  
Открытки
  Поздравь друга
  
Программа TV
Кино
  Новости кино
  Кинообзоры
  
Музыка
  Радио в internet
  Russian Top
  
Спорт
Web Обзоры Exler.ru
  
Читальный зал
ЭКСпромт - статьи для чайников
Компьютерные игры
Finance News
Автообзоры
Russian America Journal Digest
 Смотрите также
Yellow Pages
Объявления
Чат
Форум
  последнее

Читальный зал
  Стихи
  Проза
  Кулинария

Едем в Америку!
  Иммиграция
  Визы
  Советы

Знакомства
Фотоальбомы
Top Rating
  America TOP
  
Последние новости со всего мира.
 
NEWS CENTRAL >> Вокруг света

Вокруг света

Рентгеновские снимки Монро ушли с молотка за 45 тысяч долларов
2:35PM Monday, Jun 28, 2010
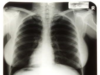
Рентгеновский снимок Монро. Иллюстрация с сайта аукциона
Рентгеновские снимки грудной клетки Мэрилин Монро были проданы на аукционе Hollywood Legends в Лас-Вегасе за 45 тысяч долларов, сообщает Associated Press. Торги проходили в выходные, 26 и 27 июня.

Несколько рентгеновских снимков были сделаны в 1954 году, когда Монро поступила в медицинский центр Cedars of Lebanon Hospital во Флориде с диагнозом эндометриоз. Весной 2010 года аукционный дом Julien's объявил о том, что снимки будут проданы в рамках аукциона вещей, связанных с именами голливудских актрис. Ожидалось, что максимальная стоимость рентгена грудной клетки Мэрили Монро не превысит трех тысяч долларов.

Среди прочих вещей, проданных на аукционе в Лас-Вегасе, также оказалось кресло, фигурировавшее в последней фотосессии Монро для журнала Life Magazine. Этот предмет мебели ушел с молотка за 35 тысяч долларов.

По материалам lenta.ru
« « Вернуться       Далее » »
Другие новости по теме
  • Создатель Yakuza рассекретил новую игру сериала
  • МИД РФ потребовал от Германии доказательств существования "русских шпионов"
  • Указ о Дне советской оккупации расколол Молдавию: и.о. президента поссорился с союзниками
  • Строительство парламентского центра в Москве отложили
  • Марадона признался в желании сыграть в матче с Германией
  • Главу МИД Грузии лишили российского гражданства
  • Boeing предложит Южной Корее стелс-вариант F-15
  • Лужков пообещал снести часть высотки на Мосфильмовской
  • СМИ: Ким Чен Ир впал в маразм, нового лидера КНДР изберут уже осенью
  • Турция запретила израильским самолетам пролетать над своей территорией
  • Дунга ответил критикам сборной Бразилии
  • При взрыве бензовоза в Пакистане погибли 18 человек
  • ВМФ России задумался над покупкой украинского ракетного крейсера
  • Рынок рекламы за два года не восстановится до докризисного уровня
  • Американцы получат консоль 3DS не раньше 2011 года
  • Лионель Месси проиграл пари Марадоне

    Далее » »   Digest | Архив »    
 
Читайте также:

Британец назвал дочь в честь Леди Гаги

Премьер-министр Исландии сочеталась браком со своей подругой

Поросенок разжалобил собиравшихся съесть его латвийцев

Создатель "Аватара" вошел в тройку самых влиятельных знаменитостей

Меган Фокс вышла замуж

Сандра Баллок и Джесси Джеймс развелись


Американского пилота задержали в Рио-де-Жанейро за спущенные штаны

Самой уродливой собакой в мире признали чихуахуа

Мелу Гибсону запретили приближаться к русской подруге

Американская супермодель поблагодарила Photoshop за свою красоту

Обама сводил Медведева поесть гамбургеров

Немец вызвал полицию из платяного шкафа

Видеохостинг YouTube обзавелся вувузелой

Сыгравший вампира актер оказался родственником Дракулы




News Central Home | News Central Resources | Portal News Resources | Help | Login
Russian America Top Holostyak.com Рейтинг@Mail.ru © 2025 RussianAMERICA Holding
All Rights Reserved • Contact